TRANSFORMĂRI CARE REDAU ZÂMBETUL
Standardul Nostru de Succes
Vezi cum am ajutat pacienții Family Dent să își recapete încrederea și funcționalitatea dentară prin soluții moderne.
La Family Dent Cluj-Napoca, credem că fiecare pacient merită un zâmbet funcțional și estetic. În această galerie de cazuri clinice, prezentăm rezultatele reale ale muncii echipei noastre, de la reabilitări complexe prin implanturi dentare All-on-4 și All-on-6, până la tratamente de estetică dentară și fațete ceramice.
Folosim tehnologie digitală de ultimă oră pentru a asigura precizia fiecărei intervenții. Explorează transformările de mai jos și descoperă cum soluțiile noastre personalizate de stomatologie digitală au schimbat viața pacienților noștri, redându-le libertatea de a zâmbi și de a mânca fără restricții.
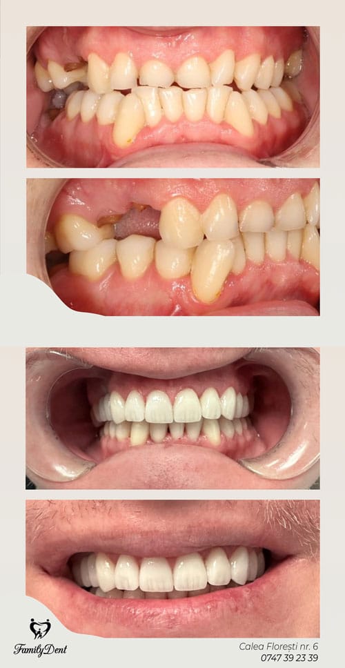
Reabilitare orală totală prin sisteme All-on-6 și All-on-4

Povestea pacientului
Pacientul s-a prezentat la clinica noastră într-un moment critic: îi era rușine să mai zâmbească și, din cauza lipsei dinților, nu se mai putea bucura de plăcerea de a mânca. Această izolare socială și disconfortul fizic zilnic l-au motivat să caute o soluție definitivă care să îi redea demnitatea și calitatea vieții.
Soluția Soluția Family Dent
Arcada Superioară: Sistem fix pe 6 implanturi (All-on-6).
Arcada Inferioară: Sistem fix pe 4 implanturi (All-on-4).
Tehnologie: Planificare digitală pentru stabilitate maximă și estetică naturală.
Durata tratamentului
Finalizat în 3 ședințe, într-un interval de 60 zile (durata normală de osteointegrare).
Rezultatul
✅ Stabilitate maximă: Dantură fixă, fără grija protezelor mobile.
✅ Funcție masticatorie redobândită.
✅ Estetică Radiantă: Un zâmbet natural, perfect adaptat fizionomiei.
Reabilitare Bimaxilară Complexă: Salvarea dinților naturali prin tehnologii moderne

Povestea pacientului
Pacientul s-a prezentat cu lucrări protetice vechi, care nu mai corespundeau standardelor de estetică și funcționalitate. Obiectivul a fost clar: să înlocuim vechile restaurări cu o soluție modernă, durabilă, care să salveze dinții restanți și să ofere un zâmbet complet refăcut, atât sus, cât și jos.
Soluția Soluția Family Dent
Pregătire: Îndepărtarea lucrărilor vechi și evaluarea atentă a fiecărui dinte.
Consolidare: Tratarea endodontică riguroasă a dinților restanți și ranforsarea acestora cu pivoți din fibră de sticlă pentru o rezistență sporită.
Estetică gingivală: Utilizarea laserului pentru gingivectomie, asigurând o conturare precisă și rapidă a gingiei.
Finalizare: Realizarea unor noi lucrări metalo-ceramice cu adaptare marginală perfectă, pentru un aspect natural și o funcționalitate impecabilă.
Durata tratamentului
Finalizat în 3 ședințe, într-un interval de 60 zile (durata normală de osteointegrare).
Rezultatul
✅ Sănătate pe termen lung: Dinți restaurați la interior și protejați la exterior.
✅ Estetică impecabilă: Un zâmbet uniform, cu o gingie sănătoasă și lucrări de calitate.
✅ Funcție masticatorie restaurată: Confort total în viața de zi cu zi.
Reabilitare Multidisciplinară: Totul sub un singur acoperiș pentru un zâmbet complet

Povestea pacientului
„Am vrut o soluție completă, care să nu rezolve doar o problemă, ci să îmi redea sănătatea întregii danturi.” Acest caz este dovada că atunci când tratamentele sunt coordonate, rezultatele sunt spectaculoase. De la alinierea dinților și până la restaurarea finală, am ghidat pacientul prin fiecare etapă.
Soluția Family Dent
Aliniere: Tratament ortodontic pentru corectarea înghesuirilor și crearea spațiilor ideale.
Baza solidă: Inserarea de implanturi dentare pentru restabilirea punctelor de sprijin.
Sănătate gingivală: Proceduri de gingivectomie (tratament parodontal) pentru o estetică gingivală armonioasă.
Finisaje: Albire profesională pentru o nuanță luminoasă, urmată de fațete și coroane din ceramică pe zirconiu pentru o estetică naturală și durabilitate.
Durata tratamentului
Finalizat în 3 ședințe, într-un interval de 60 zile (durata normală de osteointegrare).
Rezultatul
✅ Sănătate completă: Dantură aliniată, stabilă și funcțională.
✅ Armonie estetică: Un zâmbet uniform, cu aspect natural, integrat perfect în fizionomia pacientului.
✅ Zero stres: Toate procedurile au fost coordonate în cadrul clinicii noastre, oferind predictibilitate și confort.
Reabilitare Estetică și Funcțională: Mai mult decât un simplu zâmbet

Povestea pacientului
Pacientul a dorit o schimbare radicală, având nevoie de o soluție care să îmbine sănătatea bazei (implanturi) cu o estetică impecabilă a dinților frontali. Rezultatul a fost o transformare care a redat nu doar zâmbetul, ci și curajul de a comunica fără rețineri.
Soluția Family Dent
Zona Inferioară: Implanturi dentare pentru reconstrucția bazei și stabilizarea mușcăturii.
Zona Frontală: Fațete ceramice pentru o armonie vizuală perfectă.
Durabilitate: Coroane din zirconiu-ceramică, alese pentru rezistența lor superioară și aspectul natural.
Durata tratamentului
Finalizat în 3 ședințe, într-un interval de 60 zile (durata normală de osteointegrare).
Rezultatul
✅ Masticație corectă: Funcție masticatorie refăcută integral prin implanturi.
✅ Siguranță & Sănătate: O structură solidă, concepută să reziste în timp.
✅ Zâmbet radiant: Un aspect estetic unitar, plin de naturalețe.
Ortodonție complexă: Soluție alternativă fără chirurgie

Povestea pacientului
„Am fost la alte cabinete unde mi s-a propus chirurgia ortognată, dar am refuzat categoric. Căutam o soluție care să îmi rezolve problemele fără o intervenție atât de invazivă.” Pacienta noastră a venit la Family Dent cu dorința de a găsi o altă cale, iar noi am acceptat provocarea de a-i oferi rezultatul dorit printr-o abordare ortodontică precisă.
Soluția Family Dent
- Abordare conservatoare: Am ales să evităm chirurgia, optând pentru un tratament ortodontic fix, personalizat pentru nevoile specifice pacientei.
- Corecție funcțională: Am rezolvat mușcătura încrucișată (cross-bite) pe partea stângă și am coordonat arcadele pentru o funcționare optimă a articulației.
- Eficiență: Am reușit închiderea tuturor spațiilor, eliminând astfel necesitatea unor tratamente ulterioare cu implanturi dentare.
Durata tratamentului
Finalizat în 3 ședințe, într-un interval de 60 zile (durata normală de osteointegrare).
Rezultatul
✅ Fără chirurgie: Am atins obiectivele estetice și funcționale respectând dorința pacientei.
✅ Conservarea danturii naturale: Nu a fost nevoie de implanturi; am salvat și am aliniat dinții existenți.
✅ Încredere și Zâmbet: O transformare care a redat pacientei bucuria de a zâmbi și, mai important, siguranța că a fost ascultată și înțeleasă.
Reabilitare complexă etapizată: Armonie între estetică și funcție

Povestea pacientului
Un caz care a necesitat o planificare riguroasă pentru a restabili nu doar zâmbetul, ci și întreaga funcționalitate a arcadelor. Provocarea a fost integrarea perfectă a lucrărilor pe dinți naturali cu cele pe implanturi.
Soluția Soluția Family Dent
Zona Frontală: Coroane ceramice premium pentru un aspect natural și o integrare cromatică armonioasă.
Zona Laterală (Stânga/Dreapta): Lucrări zirconiu-ceramice pe implanturi, alegerea ideală pentru rezistență maximă și stabilitate pe termen lung.
Abordare: Tratament etapizat, cu accent pe sănătatea parodontală și ocluzia corectă.
Durata tratamentului
Finalizat în 3 ședințe, într-un interval de 60 zile (durata normală de osteointegrare).
Rezultatul
✅ Funcție masticatorie redobândită: Rezistență și stabilitate prin utilizarea zirconiului.
✅ Estetică impecabilă: Un zâmbet nou, care respectă trăsăturile naturale ale pacientului.
✅ Durabilitate: O planificare corectă care garantează succesul pe termen lung.
Reabilitarea edentației totale: Stabilitate absolută prin proteză pe bară Dolder

Povestea pacientului
Pacienta s-a prezentat cu edentație totală (lipsa completă a dinților), o situație care afectează nu doar zâmbetul, ci și nutriția, vorbirea și conturul feței. Dorința a fost o soluție fixă, extrem de stabilă, care să elimine disconfortul protezelor mobile convenționale.
Soluția Family Dent
Suport: Inserarea a 4 implanturi MegaGen de ultimă generație.
Sistem de ancorare: Realizarea unei bare Dolder – un sistem de precizie care „leagă” implanturile și oferă o susținere imbatabilă.
Restaurare: Proteză supraimplantară cu estetică premium, concepută să reziste forțelor masticatorii și să arate natural.
Durata tratamentului
Finalizat în 3 ședințe, într-un interval de 60 zile (durata normală de osteointegrare).
Rezultatul
✅ Estetică Facială: Refacerea volumului buzelor și a suportului obrajilor (efect de întinerire).
✅ Funcționalitate Totală: Redobândirea funcției masticatorii și fonetice (vorbire clară).
✅ Siguranță: O lucrare durabilă, care oferă confort psihologic și fizic pacientului.
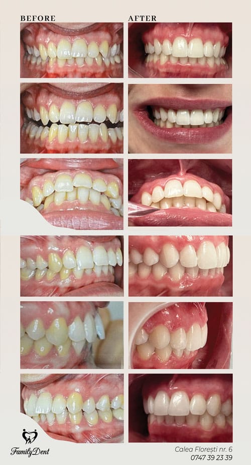
Estetică Dentară: Fațete ultranaturale cu păstrarea identității

Povestea pacientului
„Vreau să fiu eu… doar o versiune mai încrezătoare.” Aceasta a fost dorința pacientului nostru, care căuta un zâmbet mai luminos și armonios, fără a apela la perfecțiunea artificială. Provocarea a fost păstrarea detaliilor unice, precum diastema, transformând în același timp întreaga fizionomie.
Soluția Family Dent
Personalizare: Fațete ceramice ultranaturale, create special pentru a se integra în fizionomia unică a pacientului.
Design Digital: Am calculat proporțiile ideale între buze și forma feței pentru un echilibru estetic perfect.
Abordare Conservatoare: Am păstrat elementele de identitate, oferind un plus de luminozitate și tinerețe fără a ascunde trăsăturile naturale.
Durata tratamentului
Finalizat în 3 ședințe, într-un interval de 60 zile (durata normală de osteointegrare).
Rezultatul
✅ Expresie facială revitalizată: Un chip mai luminos și un aspect întinerit.
✅ Armonie perfectă: Echilibru estetic între zâmbet și restul trăsăturilor faciale.
✅ Încredere instantanee: O schimbare care se simte în fiecare interacțiune a pacientului.
Fațete Dentare Premium: Transformarea zâmbetului în realitate

Povestea pacientului
Fiecare pacient vine cu un vis: un zâmbet strălucitor care să pară totuși natural. În acest caz, am lucrat pentru a corecta imperfecțiunile cromatice și de formă, oferind o estetică impecabilă care să radieze sănătate și încredere.
Soluția Family Dent
- Materiale de înaltă calitate: Am utilizat fațete din porțelan de înaltă calitate, recunoscute pentru durabilitatea lor și capacitatea de a mima perfect smalțul natural.
- Precizie Digitală: Fiecare fațetă a fost creată pentru a se adapta milimetric, asigurând un confort ocluzal optim.
- Personalizare: Culoarea și textura au fost alese împreună cu pacientul pentru a obține acel „zâmbet de revistă”, dar cu un aspect autentic.
Durata tratamentului
Finalizat în 3 ședințe, într-un interval de 60 zile (durata normală de osteointegrare).
Rezultatul
✅ Estetică de invidiat: Un zâmbet alb, uniform și armonios.
✅ Biocompatibilitate: Materiale care protejează gingia și rezistă la colorare în timp.
✅ Impact imediat: O transformare vizibilă care schimbă întreaga expresie a feței.
Transformare Ortodontică: Dincolo de alinierea dinților

Povestea pacientului
Pacientul s-a prezentat cu un disconfort atât funcțional (mușcătura nealiniată), cât și estetic. Problema principală nu era doar aspectul, ci o clasă a II-a Angle care influența modul în care funcționează articulația și mușcătura. Obiectivul nostru a fost să oferim o dantură sănătoasă, aliniată corect, care să asigure o funcționalitate pe termen lung.
Soluția Family Dent
Corecție ortodontică: Am tratat înghesuirile dentare, am corectat mușcătura (clasa a II-a) și am repoziționat linia mediană pentru un echilibru facial optim.
Sănătate și estetică: Am înlocuit obturațiile vechi (plombele necorespunzătoare) pentru a asigura integritatea dinților.
Albire profesională: Am finalizat tratamentul cu lampa Philips Zoom, oferind acel plus de luminozitate care pune în valoare noul zâmbet.
Durata tratamentului
Finalizat în 3 ședințe, într-un interval de 60 zile (durata normală de osteointegrare).
Rezultatul
✅ Funcție corectă: O ocluzie (mușcătură) stabilă care protejează dinții de uzură prematură.
✅ Echilibru estetic: O dantură aliniată care oferă un aspect natural și armonios.
✅ Zâmbet strălucitor: O nuanță alb natural, obținută sigur și eficient.
Reabilitare Estetică Completă: Un zâmbet armonios prin soluții personalizate

Povestea pacientului
Pacientul a venit cu dorința de a îmbunătăți estetica generală a zâmbetului. Provocarea a fost combinarea diverselor tipuri de restaurări pentru a obține o linie a zâmbetului uniformă, naturală și sănătoasă, atât la nivelul dinților naturali, cât și al celor pe implanturi.
Soluția Family Dent
Estetică frontală: Aplicarea de fațete dentare pentru un aspect natural și luminos.
Rezistență și estetică: Coroane zirconiu-ceramice, alese pentru durabilitatea lor superioară și estetica impecabilă.
Integrare: Realizarea de lucrări protetice pe implanturi, adaptate perfect pentru a se îmbina invizibil cu restul danturii.
Uniformitate: Albire dentară profesională (Philips Zoom) pentru grupul frontal inferior, asigurând o nuanță unitară întregului zâmbet.
Durata tratamentului
Finalizat în 3 ședințe, într-un interval de 60 zile (durata normală de osteointegrare).
Rezultatul
✅ Armonie vizuală: Un zâmbet complet uniform, unde fațetele și coroanele se integrează perfect.
✅ Sănătate și durabilitate: Soluții moderne care asigură funcționalitate pe termen lung.
✅ Încredere: O transformare care a redat pacientului un zâmbet radiant și sănătos.
Transformare completă: Ortodonție, Albire și Fațete Dentare

Povestea pacientului
Pacientul și-a dorit o schimbare reală: nu doar alinierea dinților, ci și îmbunătățirea aspectului lor estetic general. Am pornit de la o dantură cu nevoi ortodontice și am finalizat procesul cu detalii de estetică fină, pentru un rezultat armonios și echilibrat.
Soluția Family Dent
- Corecția poziției: Tratament cu aparat ortodontic fix pentru a alinia dinții și a crea o bază corectă.
- Refresh estetic: Albire dentară profesională pentru a uniformiza nuanța întregii danturi.
- Restaurare estetică: Înlocuirea obturațiilor vechi (plombelor) și aplicarea a 6 fațete dentare la grupul frontal superior, pentru un zâmbet strălucitor și natural.
Durata tratamentului
Finalizat în 3 ședințe, într-un interval de 60 zile (durata normală de osteointegrare).
Rezultatul
✅ Aliniere perfectă: O mușcătură corectă și o dantură dreaptă.
✅ Estetică radiantă: Zâmbet uniform, cu formă și nuanță ideale.
✅ Zâmbet definit: Fațetele au oferit acel plus de armonie care schimbă întreaga fizionomie.
Programul nostru
- Luni - Vineri : 9:00 - 21:00
- Sâmbătă - Duminică : Închis
Ne găsești rapid
- +40 747 392 339
- Calea Florești nr. 6, Bloc B2, Cluj-Napoca
- familydentcluj@gmail.com
