Împreună putem rezolva orice problemă!
Caz de reabilitare a întregi cavități orale:
s-au aplicat implanturi dentare Megagen în spațiile edentate urmate de coroane zirconiu-ceramice înșurubate
superior o lucrare fixă zirconiu-ceramică
inferior fațete dentare


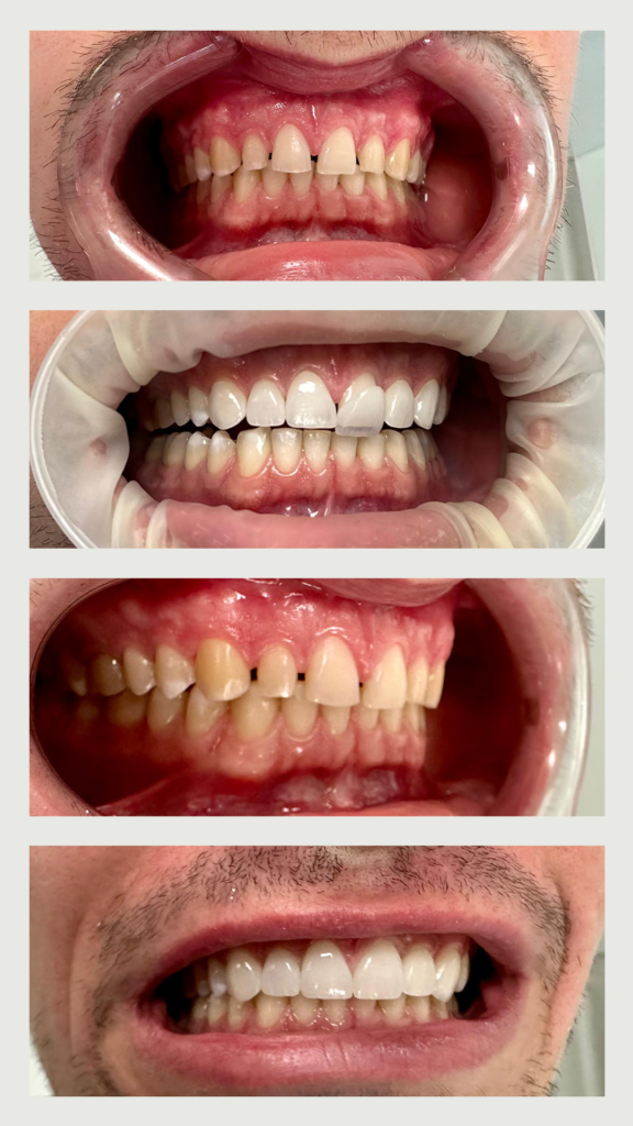
Pacientul s-a prezentat la clinica noastră fiind nemulțumit de 𝐚𝐬𝐩𝐞𝐜𝐭𝐮𝐥 𝐢𝐧𝐞𝐬𝐭𝐞𝐭𝐢𝐜 al arcadei maxilare datorat spațierilor dentare.
Astfel:
pacientul a purtat 𝐚𝐩𝐚𝐫𝐚𝐭 𝐝𝐞𝐧𝐭𝐚𝐫 pentru a închide spațiile de la arcada inferioară
am poziționat caninii în raport neutral
am decis închiderea spațiilor frontale maxilare cu ajutorul a 6 fațete 𝐞-𝐌𝐚𝐱
am realizat 𝐚𝐥𝐛𝐢𝐫𝐞 𝐝𝐞𝐧𝐭𝐚𝐫ă pentru a putea alege fațete mai deschise la culoare
Caz ortodontic complex, pe care am reușit să-l tratăm fără chirurgie ortognată. Acest tratament a fost propus pacientei și la alte cabinete, dar fost un refuz categoric din partea acesteia.
Astfel, cu ajutorul aparatului ortodontic fix am reușit corectarea mușcăturii încrucișate pe partea stângă și închiderea tututor spațiilor, fără ca pacienta să fie nevoită ulterior să recurgă la inserarea implaturilor dentare.


Pacientului 𝐞𝐝𝐞𝐧𝐭𝐚𝐭 𝐭𝐨𝐭𝐚𝐥 𝐦𝐚𝐱𝐢𝐥𝐚𝐫 i s-au inserat 4 𝐢𝐦𝐩𝐥𝐚𝐧𝐭𝐞 𝐌𝐞𝐠𝐚𝐠𝐞𝐧 care susțin o proteză pe 𝐛𝐚𝐫𝐚 𝐃𝐨𝐥𝐝𝐞𝐫.
Pacienta s-a prezentat la noi cu un 𝐝𝐢𝐧𝐭𝐞 𝐬𝐮𝐩𝐫𝐚𝐧𝐮𝐦𝐞𝐫𝐚𝐫 2.2 (un dinte în plus față de numărul normal).
În aceasta situație, s-a decis:
închiderea spațiului cu ajutorul aparatului dentar fix.


Caz bimaxilar reabilitat protetic
s-au îndepărtat lucrările vechi necorespunzătoare
s-au tratat endodontic toți dinții restanți și s-au ramforsat cu pivoți din fibră de sticlă
gingivectomie cu laser
refacerea lucrărilor metalo-ceramice.
Caz bimaxilar reabilitat protetic si estetic
fațete dentare
coroane zirconiu-ceramice
lucrări protetice pe implanturi
albire dentară cu lampa Zoom la grupul frontal inferior.


O proteză dentară fixă este dorința tuturor pacienților!
Obiectivele unei proteze pe 4 implanturi solidarizate cu bara dolder sunt:
restabilește integritatea arcadelor dentare și a funcțiilor fiziologice: masticație, fonație, respirație, gust;
sprijinul este mixt- atât pe implanturi cât și pe gingii — confort sporit pentru pacient
menținerea pe câmpul protetic – nu cade în timpul vorbitului sau strănutului datorită sistemelor speciale de retenție
estetica foarte bună – imită perfect dinții naturali
masticația este îmbunătățită deoarece Implanturile cresc forța masticatorie, iar resorbția osoasă este diminuată comparativ cu protezele clasice
fonația este restabilită în totalitate palatul nefiind acoperit de placa protezei
proteza poate fii îndepărtată de pacient asigurând o igiena bună
În urma consultului de specialitate, s-au constatat probleme din punct de vedere funcțional și estetic.
Astfel, s-au corectat înghesuirile dentare, clasa a II a Angle, precum și linia mediana.
La finalul tratamentului s-au înlocuit obturațiile necorespunzătoare și s-a realizat albire dentară profesională cu lampa Philips Zoom.


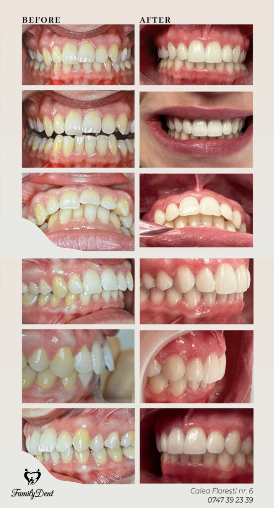
Pacienta s-a prezentat nemulțumită de:
𝙖𝙨𝙥𝙚𝙘𝙩𝙪𝙡 𝙚𝙨𝙩𝙚𝙩𝙞𝙘 al dinților cauzat de înghesuirile dentare prezente;
𝙙𝙞𝙨𝙘𝙤𝙢𝙞𝙞𝙡𝙚 cauzate de numeroase obturații;
În acest sens s-a decis aplicarea unor fațete dentare si a unor coroane zirconiu-ceramice, reușind astfel să-i redăm pacientei zâmbetul dorit.
Caz clinic reabilitat ortodontic și protetic:
pacientul a beneficiat de un tratament ortodontic cu ajutorul unui aparat ortodontic fix pentru a corecta poziția dinților;
s-a realizat albire dentară și s-au înlocuit obturațiile necorespunzătoare:
s-au aplicat 6 fațete la nivelul grupului frontal superior


Știai că ultimele studii arată că zâmbetul este mai atractiv decât orice machiaj?
Îți prezentăm un caz, realizat în clinica noastră, în care pacienta era nemulțumită de gingiile mereu inflamate cauzate de obturații debordante și culoare inestetică datorită unor dinți devitali.
Astfel, ca și plan de tratament, pentru partea superioară am optat pentru coroane integral-ceramice (E-max) și coroane zirconiu-ceramice individuale, iar pentru partea inferioară, s-a realizat albire dentară cu lampa Phillips-Zoom.